
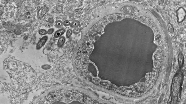
Fotografía de un astrocito, una célula de soporte de las neuronas. La mancha gris del centro es un capilar, a la izquierda, varias bacterias - ROSALINDA ROBERTS, COURTNEY WALKER, AND CHARLENE FARMER
Washington, 13/11/2018 (El Pueblo en Línea) - Está claro que los microorganismos son muy importantes para la salud del hombre. Por ejemplo, la microbiota del intestino humano, compuesta por al menos 1.000 especies diferentes de microorganismos, tiene un papel crucial para evitar la entrada de patógenos, regular el sistema inmunológico y absorber nutrientes. Ahora, una investigación presentada en el congreso anual de la Sociedad de Neurociencia, en Estados Unidos, ha mostrado imágenes de microscopio en alta resolución que sugieren que hay bacterias viviendo dentro de células de cerebros humanos sanos, tal como ha informado Sciencemagazine.com.
?Es la noticia de la semana?, ha dicho en este medio Ronald McGregor, neurocientífico de la Universidad de California no implicado en este estudio. ?Es como si hubiera una nueva fábrica molecular (en el cerebro) con sus propias demandas... Es alucinante?.
Gracias a fotografías hechas con microscopio electrónico, los investigadores han observado que hay grupos de bacterias muy abundantes en el intestino viviendo dentro de los astrocitos, unas células de apoyo de las neuronas, y también dentro de algunas neuronas. Esto parece ocurrir tanto en cerebros sanos como en cerebros que padecen esquizofrenia. Por el momento, se desconoce si estos microbios tienen algún papel beneficioso, perjudicial o inocuo.
El estudio ha sido realizado por Rosalinda Roberts, Courtney Walker y Charlene Farmer, investigadoras en la Universidad de Alabama en Birmingham (EE.UU.). Roberts, la directora de la investigación, ha resaltado que estamos ante un trabajo preliminar y que quizás las bacterias procederían de una contaminación originada en la preparación de los tejidos. Sin embargo, Roberts ha dicho que, de confirmarse, este hallazgo sugeriría que existe una íntima relación entre microbios y cerebro.
Sillitas para esperar el autobús,
la última invención en una economía compartida
Se filtra por error el sexto episodio
de ?Juego de Tronos?
Un robot monje aprende a hablar inglés
Se estrena el documental
sobre “mujeres de consuelo” de China
57 universidades chinas
entre las 500 mejores del mundo
Las 10 cadenas hoteleras
más grandes del mundo
?Cuánto paga un residente extranjero
por un alquiler en Beijing?
Un graduado de Tsinghua convierte
la cría del esturión cuchara en una mina de oro
La dedicación de una ni?a
al arte de la ópera de Pekín


